Theo các chuyên gia nha khoa, xương mặt bị lệch nếu không được chữa trị sớm sẽ gây ra những ảnh hưởng rất xấu đến sức khỏe, công việc và cuộc sống của người bệnh. Dưới đây là một số tác hại mà người bệnh phải gánh chịu khi gặp phải tình trạng này:
Khuôn mặt bị biến dạng: Xương mặt bị lệch là nguyên nhân hàng đầu dẫn đến tình trạng mặt 1 bên to 1 bên nhỏ, khiến tương quan giữa mũi – trán – cằm bị lệch lạc, gây mất thẩm mỹ. Điều này khiến sự cân đối và hài hòa vốn có của khuôn mặt bị phá hủy, làm cho khuôn mặt nhìn rất khó coi.

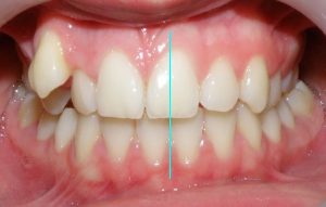
Suy giảm chức năng ăn nhai: Tình trạng xương mặt phát triển không đồng đều, lệch nhiều sang 1 bên sẽ khiến cho khớp cắn bị sai lệch nghiêm trọng. Tức là, hai hàm răng trên dưới không thể sát khít với nhau như bình thường, do đó, người bệnh sẽ gặp nhiều khó khăn trong việc cắn – xé – nghiền nát thức ăn. Đồng thời, chức năng phát âm cũng bị giảm sút.
Gia tăng nguy cơ mắc bệnh lý răng miệng: Xương mặt bị lệch khiến tương quan giữa hàm trên và dưới bị phá vỡ, việc vệ sinh răng miệng mỗi ngày cũng trở nên kho khăn. Lâu ngày thức ăn thừa dính trên răng không được làm sạch, tạo điều kiện cho vi khuẩn sinh sôi và gây ra các bênh lý như sâu răng, nha chu, viêm lợi…
Xương mặt bị lệch – Đâu là nguyên nhân khắc phục hiệu quả?
Hiện nay, cách để khắc phục hoàn toàn tình trạng xương mặt bị lệch, các bác sĩ nha khoa sẽ áp dụng phương pháp phẫu thuật chỉnh hàm lệch. Đây là một kĩ thuật chỉnh nha thế hệ mới, là bước đột phá trong điều trị lệch mặt. Với phương pháp này, tình trạng xương mặt bị lệch sẽ được triệt tiêu chỉ trong 1 lần điều trị, giúp bạn sở hữu ngay khuôn mặt cân đối và hài hòa. Đồng thời, chức năng ăn nhai và phát âm cũng được khôi phục hoàn toàn. Nhờ đó, cuộc sống, công việc và sức khỏe của bạn cũng được cải thiện đáng kể.
►Xem thêm: Mặt lưỡi cày là gì?
Đầu tiên, bạn sẽ được gây mê vô cảm, nhằm giúp bạn không cảm thấy đau nhức và khó chịu trong suốt thời gian điều trị. Tiếp theo, bác sĩ rạch một đường nhỏ bên trong khoang miệng, tiến hành bóc tách hết các dây thần kinh – mô mềm – mạch máu xung quanh khu vực xương cần điều chỉnh. Sau đó, thực hiện cắt 1 phần xương hàm đối diện hàm bị lệch (tức là mặt bị lệch về bên trái thì cắt xương bên phải). Cuối cùng, xoay khớp xương hàm về phía thích hợp, sao cho khuôn mặt trở nên cân đối và hài hòa. Để kết thúc ca phẫu thuật, bác sĩ cố định xương lại bằng nẹp và mini vis.
Ngoài ra, để xương mặt không bị lệch lệch trở lại sau khi điều trị, bạn nên từ bỏ ngay những thói quen xấu như ăn nhai một bên hàm lệch mặt, nằm nghiên khi ngủ, chống cằm. Bởi vì, những thói quen này là nguyên nhân dẫn đến tình trạng xương mặt bị lệch sang một bên.
